GABINET STOMATOLOGICZNO – PROTETYCZNY lek. stomatolog Katarzyna Gączarzewicz 84-300 Lębork, Wyspa Młyńska - ul. Waryńskiego 6 tel. kom. 604 291 006
Chcę zadbać o Twój uśmiech
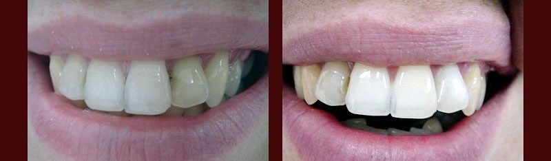
Przed / Po: Wybielanie gabinetowe w tym pojedynczych martwych zębów
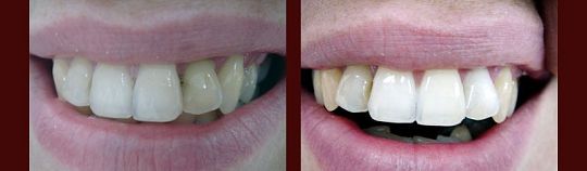
Przed / Po: Wybielanie w trakcie zabiegu (wybielanie tylko górnego łuku)
Przejdź do góry strony